missing translation for 'onlineSavingsMsg'
Läs mer
Läs mer
Invitrogen™ Annexin A4 Polyclonal Antibody

Rabbit Polyclonal Antibody
Brand: Invitrogen™ PA541328
Denna artikel kan inte returneras.
Se returpolicy
Beskrivning
Peptide sequence: GLGTDEDAII SVLAYRNTAQ RQEIRTAYKS TIGRDLIDDL KSELSGNFEQ Sequence homology: Cow: 93%; Dog: 100%; Guinea Pig: 86%; Horse: 93%; Human: 100%; Mouse: 93%; Pig: 100%; Rabbit: 100%; Rat: 100%; Zebrafish: 79%.
Annexin IV (ANX4) belongs to the annexin family of calcium-dependent phospholipid binding proteins. Although their functions are still not clearly defined, several members of the annexin family have been implicated in membrane-related events along exocytotic and endocytotic pathways. ANX4 has 45 to 59% identity with other members of its family and shares a similar size and exon-intron organization. Isolated from human placenta, ANX4 encodes a protein that has possible interactions with ATP, and has in vitro anticoagulant activity and also inhibits phospholipase A2 activity. ANX4 is almost exclusively expressed in epithelial cells.
Specifikationer
| Annexin A4 | |
| Polyclonal | |
| Unconjugated | |
| ANXA4 | |
| 35-beta calcimedin; 36 kDa zymogen granule membrane-associated protein; AI265406; AIV; annexin 4; annexin A4; Annexin IV; annexin IV (placental anticoagulant protein II); annexin-4; ANX IV; ANX4; ANXA 4; Anxa4; ANXIV; AW106930; Carbohydrate-binding protein p33/p41; chromobindin-4; endonexin; endonexin I; epididymis secretory protein Li 274; HEL-S-274; Lipocortin IV; P32.5; p33/41 (annexin IV); PAP-II; PIG28; Placental anticoagulant protein II; PP4-X; proliferation-inducing gene 28; proliferation-inducing protein 28; Protein II; unnamed protein product; Xanx-4; ZAP 36/annexin IV; ZAP36; zymogen granule membrane associated protein | |
| Rabbit | |
| Protein A | |
| RUO | |
| 307, 79124 | |
| -20°C, Avoid Freeze/Thaw Cycles | |
| Liquid |
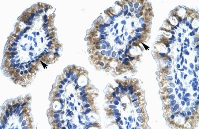
| Immunohistochemistry, Western Blot | |
| 1 mg/mL | |
| PBS with 2% sucrose and 0.09% sodium azide | |
| P09525, P55260 | |
| ANXA4 | |
| Synthetic peptide directed towards the N-terminal of human ANXA4 (aa 29-78). | |
| 100 μL | |
| Primary | |
| Human, Rat | |
| Antibody | |
| IgG |
Korrigering av produktinnehåll
Din input är viktig för oss. Fyll i det här formuläret för att ge feedback relaterad till innehållet på denna produkt.
Produkttitel
Hittar du en möjlighet till förbättring?Dela en innehållskorrigering