missing translation for 'onlineSavingsMsg'
Läs mer
Läs mer
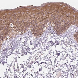
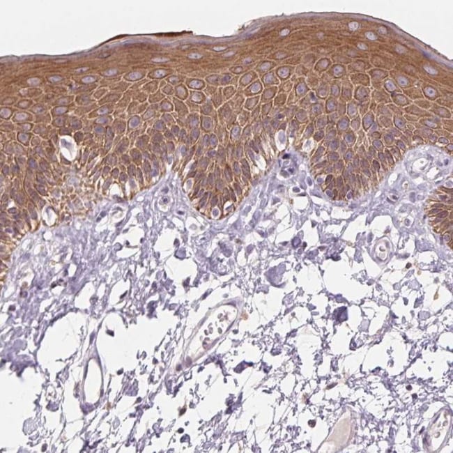
Invitrogen™ Cytokeratin 1 Polyclonal Antibody

Rabbit Polyclonal Antibody
Brand: Invitrogen™ PA584572
Denna artikel kan inte returneras.
Se returpolicy
Beskrivning
Immunogen sequence: FINNLRRRVD QLKSDQSRLD SELK Highest antigen sequence indentity to the following orthologs: Rat - 75%, Mouse - 75%.
Cytokeratins are a subfamily of intermediate filament proteins and are characterized by a remarkable biochemical diversity, represented in human epithelial tissues by at least 20 different polypeptides. They range in molecular weight between approximately40 kDa and approximately68 kDa and isoelectric pH between 4. 9 - 7. 8. The individual human cytokeratins are numbered 1 to 20. The various epithelia in the human body usually express cytokeratins which are not only characteristic of the type of epithelium, but also related to the degree of maturation or differentiation within an epithelium. Cytokeratin subtype expression patterns are used to an increasing extent in the distinction of different types of epithelial malignancies. The cytokeratin antibodies are not only of assistance in the differential diagnosis of tumors using immunohistochemistry on tissue sections, but are also a useful tool in cytopathology and flow cytometric assays.
Specifikationer
| Cytokeratin 1 | |
| Polyclonal | |
| Unconjugated | |
| KRT1 | |
| 67 kDa cytokeratin; CK1; CK-1; cytokeratin 1; cytokeratin-1; EHK; EHK1; epidermolytic hyperkeratosis 1; epithelial keratin 1; Epithelial keratin-1; EPPK; Hair alpha protein; K1; Kb1; KER1; keratin 1; keratin 1 (epidermolytic hyperkeratosis); keratin 1, type II; keratin 86; keratin complex 2, basic, gene 1; keratin, type II cytoskeletal 1; Keratin-1; KRT1; krt1 {ECO:0000250; KRT1A; Krt-2.1; Krt2-1; Krt86; KRTA; NEPPK; type II keratin Kb1; type-II keratin Kb1; UniProtKB:P04264} | |
| Rabbit | |
| Antigen affinity chromatography | |
| RUO | |
| 3848 | |
| Store at 4°C short term. For long term storage, store at -20°C, avoiding freeze/thaw cycles. | |
| Liquid |
| Immunohistochemistry (Paraffin), Western Blot | |
| 0.2 mg/mL | |
| PBS with 40% glycerol and 0.02% sodium azide; pH 7.2 | |
| P04264 | |
| KRT1 | |
| Recombinant protein corresponding to Human KRT1. Recombinant protein control fragment (Product #RP-103799). | |
| 100 μL | |
| Primary | |
| Human | |
| Antibody | |
| IgG |
Korrigering av produktinnehåll
Din input är viktig för oss. Fyll i det här formuläret för att ge feedback relaterad till innehållet på denna produkt.
Produkttitel
Hittar du en möjlighet till förbättring?Dela en innehållskorrigering