missing translation for 'onlineSavingsMsg'
Läs mer
Läs mer
Invitrogen™ FER Polyclonal Antibody

Beskrivning
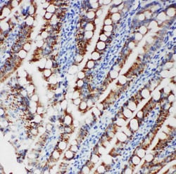
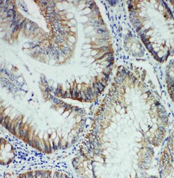
Reconstitute with 0.2 mL of distilled water to yield a concentration of 500 μg/mL. Positive Control - WB: HELA whole cell, Rat Testis Tissue, Rat Ovary Tissue. IHC: Human Intestinal Cancer Tissue, Rat Intestine Tissue.
FER is a member of the FPS/FES family of non-receptor tyrosine kinases. It regulates cell-cell adhesion and mediates signaling from the cell surface to the cytoskeleton via growth factor receptors. FER is found in the cytoplasm and in the nucleus, where it was associated with the chromatin fraction. Its ubiquitous expression and its subcellular location indicate that it may be involved in key regulatory processes. The group IV cytoplasmic protein-tyrosine kinase Fer has been linked to cellular signaling responses to many different stimuli, including growth factors and cytokines. Data suggest a biological role for Fer in regulation of leukocyte recruitment during the innate immune response.
Specifikationer
Specifikationer
| Antigen | FER |
| Användningsområden | Immunohistochemistry (Paraffin), Western Blot |
| Klassificering | Polyclonal |
| Koncentration | 500 μg/mL |
| Konjugera | Unconjugated |
| Formulering | PBS with 5mg BSA and 0.05mg sodium azide, 0.05mg thimerosal |
| Gen | FER |
| Genaccessionsnr. | P09760, P16591 |
| Gene Alias | AV082135; C330004K01Rik; c-FER; EC 2.7.10.2; Feline encephalitis virus-related kinase FER; FER; fer (fms/fps related) protein kinase; fer (fms/fps related) protein kinase, testis specific 2; fer (fps/fes related) tyrosine kinase; FER tyrosine kinase; Fert; Fert2; Flk; Flk_retired; Fujinami poultry sarcoma/Feline sarcoma-related protein Fer; p47; p94-Fer; phosphoprotein NCP94; PPP1R74; protein phosphatase 1, regulatory subunit 74; proto-oncogene c-Fer; proto-oncogene tyrosine-protein kinase Fer; TYK3; Tyrosine kinase 3; tyrosine protein kinase FLK; tyrosine-protein kinase Fer; Tyrosine-protein kinase FLK |
| Gensymboler | FER |
| Visa mer |
Produkttitel
Genom att klicka på Skicka bekräftar du att du kan bli kontaktad av Fisher Scientific angående feedbacken du har lämnat i detta formulär. Vi kommer inte att dela din information för andra ändamål. All kontaktinformation som tillhandahålls ska också underhållas i enlighet med vår Sekretesspolicy.
Hittar du en möjlighet till förbättring?