Läs mer
Invitrogen™ HP1 gamma Polyclonal Antibody

Rabbit Polyclonal Antibody
Brand: Invitrogen™ PA578928
Beskrivning
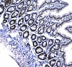
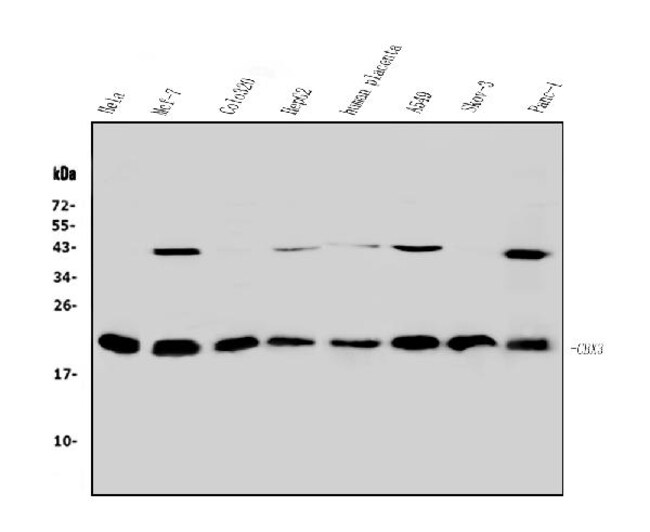
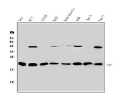
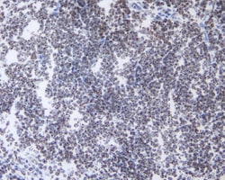
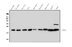
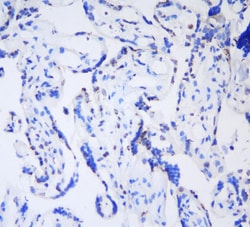
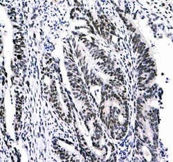
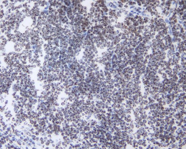
Reconstitute with 0.2 mL of distilled water to yield a concentration of 500 μg/mL. Positive Control - WB: rat brain tissue, rat spleen tissue, rat testis tissue, rat PC-12 whole cell, mouse brain tissue, mouse brain tissue, mouse testis tissue, mouse HEPA1-6 whole cell, mouse NIH/3T3 whole cell, human Hela whole cell, human MCF-7 whole cell, human COLO320 whole cell, human HepG2 whole cell, human placenta tissue, human A549 whole cell, human SKOV-3 whole cell, human PANC-1 whole cell. IHC: human mammary cancer tissue, human rectal cancer tissue, mouse small intestine tissue, rat small intestine tissue IHC-F: rat spleen tissue, human placenta tissue, mouse spleen tissue. ICC/IF: U20S cell. Flow: A431 cell.
At the nuclear envelope, the nuclear lamina and heterochromatin are adjacent to the inner nuclear membrane. The protein encoded by this gene binds DNA and is a component of heterochromatin. This protein also can bind lamin B receptor, an integral membrane protein found in the inner nuclear membrane. The dual binding functions of the encoded protein may explain the association of heterochromatin with the inner nuclear membrane.
Specifikationer
| HP1 gamma | |
| Polyclonal | |
| Unconjugated | |
| Cbx3 | |
| CBX3; chromobox 3; chromobox homolog 3; chromobox homolog 3 (HP1 gamma homolog, Drosophila); chromobox protein homolog 3; chromobox-like protein 3; HECH; heterochromatin protein 1 gamma; heterochromatin protein 1 homolog gamma; heterochromatin protein HP1 gamma; heterochromatin-like protein 1; HGNC:1553; HP1 gamma; HP1 gamma homolog; HP1g; HP1-GAMMA; HP1Hs-gamma; HPy; M32; Modifier 2 protein; OTTHUMP00000202463 | |
| Rabbit | |
| Antigen affinity chromatography | |
| RUO | |
| 11335, 12417, 297093 | |
| -20°C | |
| Lyophilized |
| ELISA, Flow Cytometry, Immunohistochemistry (Frozen), Immunohistochemistry (Paraffin), Western Blot, Immunocytochemistry | |
| 500 μg/mL | |
| PBS with 4mg trehalose and 0.05mg sodium azide | |
| P23198, Q13185 | |
| Cbx3 | |
| E. coli-derived human HP1 gamma recombinant protein (Position: A2-Q183). | |
| 100 μg | |
| Primary | |
| Human, Mouse, Rat | |
| Antibody | |
| IgG |
Din input är viktig för oss. Fyll i det här formuläret för att ge feedback relaterad till innehållet på denna produkt.