missing translation for 'onlineSavingsMsg'
Läs mer

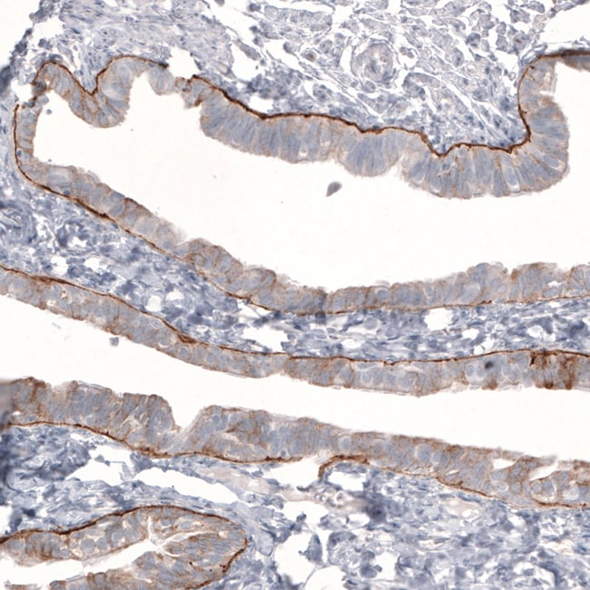
Invitrogen™ Laminin beta-3 Monoclonal Antibody (CL3363)
GREENER_CHOICE

Mouse Monoclonal Antibody

Brand:  Invitrogen™ MA524655

Produktkod. 15709310

  • 5000.00 SEK / 100µL

Vänligen för att beställa denna produkten. Behöver du ett Webbkonto? Registrera ditt konto idag!

Denna artikel kan inte returneras. Se returpolicy

Beskrivning

Beskrivning

Immunogen sequence: KLVTSMTKQL GDFWTRMEEL RHQARQQGAE AVQAQQLAEG ASEQALSAQE GFERIKQKYA ELKDRLGQSS MLGEQGARIQ SVKTEAEELF GETMEMMDRM KDMELELLRG SQAIMLRSAD LTGLEKRVEQ Highest antigen sequence identity to the following orthologs: Mouse - 75%, Rat - 76%. Binds to an epitope located within the peptide sequence MTKQLGDFWTRMEEL as determined by overlapping synthetic peptides.

The product encoded by this gene is a laminin that belongs to a family of basement membrane proteins. This protein is a beta subunit laminin, which together with an alpha and a gamma subunit, forms laminin-5. Mutations in this gene cause epidermolysis bullosa junctional Herlitz type, and generalized atrophic benign epidermolysis bullosa, diseases that are characterized by blistering of the skin. Multiple alternatively spliced transcript variants that encode the same protein have been found for this gene.
TRUSTED_SUSTAINABILITY
Specifikationer

Specifikationer

Laminin beta-3
Monoclonal
0.5 mg/mL
PBS with 40% glycerol and 0.02% sodium azide; pH 7.2
Q13751
LAMB3
Recombinant protein fragment of Human LAMB3 (Product #RP-89620)
100 μL
Primary
Human
Antibody
IgG1
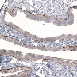
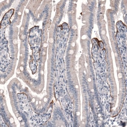
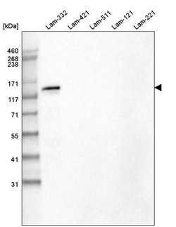
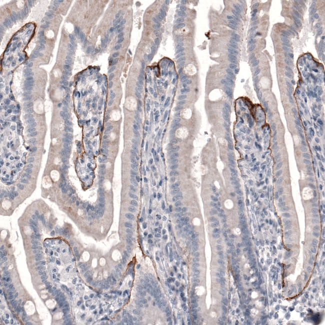
Immunohistochemistry (Paraffin), Western Blot
CL3363
Unconjugated
LAMB3
AI1A; BM600-125KDA; Epiligrin subunit bata; kalinin B1 chain; Kalinin subunit beta; kalinin-140kDa; LAM5; Lamb3; Laminin B1k chain; laminin beta 3; laminin chain; laminin S B3 chain; laminin subunit beta 3; laminin subunit beta-3; laminin, beta 3; laminin, beta 3 (nicein (125kD), kalinin (140kD), BM600 (125kD)); laminin-5 subunit beta; LAMNB1; Nicein subunit beta; nicein, 125kD; nicein, 125kDa; nicein-125k; nicein-125kDa; RP1-272L16.3
Mouse
Protein A
RUO
3914
Store at 4°C short term. For long term storage, store at -20°C, avoiding freeze/thaw cycles.
Liquid
Produktförslag

Produktförslag

Filmer
SDS
Dokument

Dokument

Certifikat
Kampanjer

Kampanjer

Korrigering av produktinnehåll

Din input är viktig för oss. Fyll i det här formuläret för att ge feedback relaterad till innehållet på denna produkt.

Produkttitel

Genom att klicka på Skicka bekräftar du att du kan bli kontaktad av Fisher Scientific angående feedbacken du har lämnat i detta formulär. Vi kommer inte att dela din information för andra ändamål. All kontaktinformation som tillhandahålls ska också underhållas i enlighet med vår Sekretesspolicy.

Tack! Din feedback har skickats. Fisher Scientific arbetar alltid för att förbättra vårt innehåll åt dig. Vi uppskattar din feedback.