missing translation for 'onlineSavingsMsg'
Läs mer
Läs mer
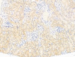
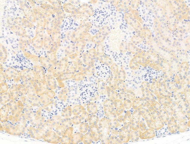
Invitrogen™ MOV10 Polyclonal Antibody

Rabbit Polyclonal Antibody
Brand: Invitrogen™ PA5115586
Denna artikel kan inte returneras.
Se returpolicy
Beskrivning
Antibody detects endogenous levels of total Mov10.
5' to 3' RNA helicase contributing to UPF1 mRNA target degradation by translocation along 3' UTRs (PubMed:24726324). Required for microRNA (miRNA)-mediated gene silencing by the RNA-induced silencing complex (RISC). Required for both miRNA-mediated translational repression and miRNA-mediated cleavage of complementary mRNAs by RISC (PubMed:16289642, PubMed:17507929, PubMed:22791714). In cooperation with FMR1, regulates miRNA-mediated translational repression by AGO2 (PubMed:25464849). Restricts retrotransposition of long interspersed element-1 (LINE-1) in cooperation with TUT4 and TUT7 counteracting the RNA chaperonne activity of L1RE1 (PubMed:30122351, PubMed:23093941). Facilitates LINE-1 uridylation by TUT4 and TUT7 (PubMed:30122351). Required for embryonic viability and for normal central nervous system development and function. Plays two critical roles in early brain development: suppresses retroelements in the nucleus by directly inhibiting cDNA synthesis, while regulates cytoskeletal mRNAs to influence neurite outgrowth in the cytosol. May function as a messenger ribonucleoprotein (mRNP) clearance factor (PubMed:24726324). Exhibits antiviral activity against dengue virus (DENV) (PubMed:27974568). [UniProt].
Specifikationer
| MOV10 | |
| Polyclonal | |
| Unconjugated | |
| MOV10 | |
| Armitage homolog; C77703; capping protein (actin filament) muscle Z-line, alpha 1; Capza1; fSAP113; functional spliceosome-associated protein 113; gb110; Helicase MOV-10; KIAA1631; Moloney leukemia virus 10; moloney leukemia virus 10 protein; Mov10; Mov-10; Mov10 RISC complex RNA helicase; Mov10, Moloney leukemia virus 10; Mov10, Moloney leukemia virus 10, homolog; putative helicase MOV-10 | |
| Rabbit | |
| Affinity chromatography | |
| RUO | |
| 17454, 310756, 4343 | |
| -20°C | |
| Liquid |
| Immunohistochemistry (Paraffin), Western Blot | |
| 1 mg/mL | |
| PBS with 50% glycerol and 0.02% sodium azide | |
| P23249, Q9HCE1 | |
| MOV10 | |
| A synthesized peptide derived from human MOV10(Accession Q9HCE1), corresponding to amino acid residues G920-P970. | |
| 100 μL | |
| Primary | |
| Human, Mouse, Rat | |
| Antibody | |
| IgG |
Korrigering av produktinnehåll
Din input är viktig för oss. Fyll i det här formuläret för att ge feedback relaterad till innehållet på denna produkt.
Produkttitel
Hittar du en möjlighet till förbättring?Dela en innehållskorrigering