missing translation for 'onlineSavingsMsg'
Läs mer
Läs mer
Invitrogen™ Phospho-PDPK1 (Tyr9) Polyclonal Antibody

Rabbit Polyclonal Antibody
Brand: Invitrogen™ PA537680
Denna artikel kan inte returneras.
Se returpolicy
Beskrivning
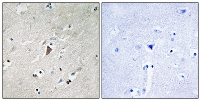
A suggested positive control for IHC is human brain tissue.
PDPK1 (3 Phosphoinositide Dependent Protein Kinase 1) phosphorylates AGC kinases. PDPK1 activates conventional PKC and PKC zeta through phosphorylation of critical threonine residues in the activation loop. PDPK1 also phosphorylates Protein Kinase B (PKB) at threonine 308 in the presence of phosphatidylinositol-3,4,5-trisphosphate. Active Akt inactivates Glycogen Synthase Kinase 3 (GSK3), eventually leading to the dephosphorylation and activation of glycogen synthase, and the stimulation of glycogen synthesis. Because of the role that PDPK1 plays in insulin-induced glycogen synthesis and PKC activation, it is a potentially important target for metabolic drug research.
Specifikationer
| Phospho-PDPK1 (Tyr9) | |
| Polyclonal | |
| Unconjugated | |
| Pdpk1 | |
| 3-phosphoinositide dependent protein kinase 1; 3-phosphoinositide dependent protein kinase-1; 3-phosphoinositide-dependent protein kinase 1; 3-phosphoinositide-dependent protein kinase 2 pseudogene; HGNC:8809; hPDK1; isoenzyme 1; kinase isoenzyme 1; lipoamide; mPDK1; OTTHUMP00000174525; OTTHUMP00000205076; PDK1; PDPK1; PDPK2; PDPK2P; Pkb kinase; PkB kinase like gene 1; PkB-like 1; PRO0461; Protein kinase B kinase | |
| Rabbit | |
| Antigen affinity chromatography | |
| RUO | |
| 5170 | |
| -20°C | |
| Liquid |
| Immunohistochemistry (Paraffin) | |
| 1 mg/mL | |
| PBS with 50% glycerol and 0.02% sodium azide; pH 7.4 | |
| O15530 | |
| Pdpk1 | |
| Peptide sequence around phosphorylation site of tyrosine 9(A-L-Y(p)-D-A) derived from Human PDK1. | |
| 100 μL | |
| Primary | |
| Human | |
| Antibody | |
| IgG |
Korrigering av produktinnehåll
Din input är viktig för oss. Fyll i det här formuläret för att ge feedback relaterad till innehållet på denna produkt.
Produkttitel
Hittar du en möjlighet till förbättring?Dela en innehållskorrigering