missing translation for 'onlineSavingsMsg'
Läs mer

BTBD6, Rabbit, Polyclonal Antibody, Abnova™

Produktkod. 16052867
Change view
Klicka för att se tillgängliga alternativ
Kvantitet:
100 μg
Förpackningsstorlek:
100µg
1 product options available for selection
Product selection table with 1 available options. Use arrow keys to navigate and Enter or Space to select.
Produktkod. Kvantitet unitSize
16052867 100 μg 100µg
Use arrow keys to navigate between rows. Press Enter or Space to select a product option. 1 options available.
1 options
Denna artikel kan inte returneras. Se returpolicy
Produktkod. 16052867 Leverantör Abnova Leverantörsnummer PAB17432.100ug

Vänligen för att beställa denna produkten. Behöver du ett Webbkonto? Registrera ditt konto idag!

Denna artikel kan inte returneras. Se returpolicy

Rabbit polyclonal antibody raised against synthetic peptide of BTBD6.

Specifikationer

Antigen BTBD6
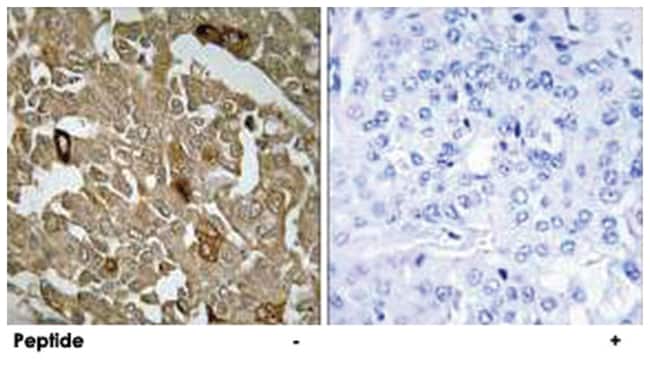
Användningsområden ELISA, Immunohistochemistry (PFA fixed)
Klassificering Polyclonal
Konjugera Unconjugated
Beskrivning Rabbit polyclonal antibody raised against synthetic peptide of BTBD6.
Utspädning Immunohistochemistry (1:50-1:100) ELISA (1:12000) The optimal working dilution should be determined by the end user.
Formulering In PBS, pH 7.4 (150mM NaCl, 0.02% sodium azide, 50% glycerol)
Gen BTBD6
Genaccessionsnr. Q96KE9
Gene Alias BDPL
Gensymboler BTBD6
Värd art Rabbit
Immunogen A synthetic peptide corresponding to internal of human BTBD6.
Kvantitet 100 μg
Regulatorisk status RUO
Primär eller sekundär Primary
Gen-ID (Entrez) 90135
Testspecificitet This antibody detects endogenous levels of total BTBD6 protein.
Målarter Human, Mouse
Innehåll och lagring Store at -20°C.
Aliquot to avoid repeated freezing and thawing.
Form Liquid
Visa mer Visa mindre

For Research Use Only

Produkttitel
Välj ett problem

Genom att klicka på Skicka bekräftar du att du kan bli kontaktad av Fisher Scientific angående feedbacken du har lämnat i detta formulär. Vi kommer inte att dela din information för andra ändamål. All kontaktinformation som tillhandahålls ska också underhållas i enlighet med vår Sekretesspolicy.