missing translation for 'onlineSavingsMsg'
Läs mer

DUS2L Rabbit anti-Human, Mouse, Polyclonal Antibody, Abnova™

Produktkod. 16052897
Change view
Klicka för att se tillgängliga alternativ
Kvantitet:
100 μg
Förpackningsstorlek:
100µg
1 product options available for selection
Product selection table with 1 available options. Use arrow keys to navigate and Enter or Space to select.
Produktkod. Kvantitet unitSize
16052897 100 μg 100µg
Use arrow keys to navigate between rows. Press Enter or Space to select a product option. 1 options available.
1 options
Denna artikel kan inte returneras. Se returpolicy
Produktkod. 16052897 Leverantör Abnova Leverantörsnummer PAB17461.100ug

Vänligen för att beställa denna produkten. Behöver du ett Webbkonto? Registrera ditt konto idag!

Denna artikel kan inte returneras. Se returpolicy

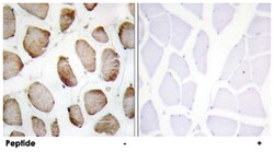
Rabbit polyclonal antibody raised against synthetic peptide of DUS2L.

Dihydrouridine synthase catalyzes reduction of the 5,6-double bond of a uridine residue on the displacement loop of tRNA. The resultant modified base, 5,6-dihydrouridine, appears to increase the conformational flexibility and dynamic motion of tRNA (Kato et al., 2005 [PubMed 15994936]).[supplied by OMIM

Specifikationer

Antigen DUS2L
Användningsområden ELISA, Immunohistochemistry (PFA fixed), Western Blot
Klassificering Polyclonal
Konjugera Unconjugated
Beskrivning Rabbit polyclonal antibody raised against synthetic peptide of DUS2L.
Utspädning Western Blot (1:500-1:1000) Immunohistochemistry (1:50-1:100) ELISA (1:20000) The optimal working dilution should be determined by the end user.
Formulering In PBS, pH 7.4 (150mM NaCl, 0.02% sodium azide, 50% glycerol)
Gen DUS2L
Genaccessionsnr. Q9NX74
Gene Alias DUS2/FLJ20399/SMM1/URLC8
Gensymboler DUS2L
Värd art Rabbit
Immunogen A synthetic peptide corresponding to C-terminus of human DUS2L.
Kvantitet 100 μg
Regulatorisk status RUO
Primär eller sekundär Primary
Gen-ID (Entrez) 54920
Testspecificitet This antibody detects endogenous levels of total DUS2L protein.
Målarter Human, Mouse
Innehåll och lagring Store at -20°C.
Aliquot to avoid repeated freezing and thawing.
Form Liquid
Visa mer Visa mindre

For Research Use Only

Produkttitel
Välj ett problem

Genom att klicka på Skicka bekräftar du att du kan bli kontaktad av Fisher Scientific angående feedbacken du har lämnat i detta formulär. Vi kommer inte att dela din information för andra ändamål. All kontaktinformation som tillhandahålls ska också underhållas i enlighet med vår Sekretesspolicy.