missing translation for 'onlineSavingsMsg'
Läs mer
Läs mer
Invitrogen™ Synaptotagmin 1 Polyclonal Antibody

Beskrivning
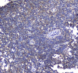
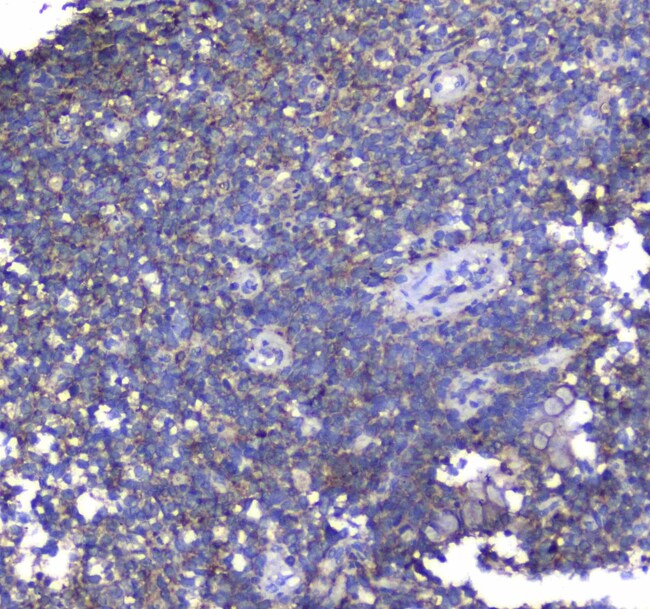
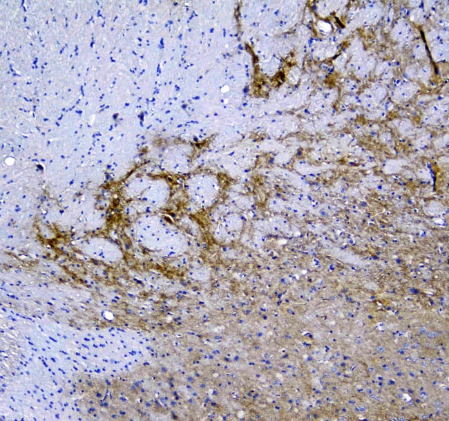
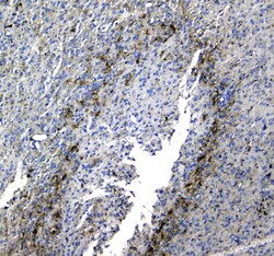
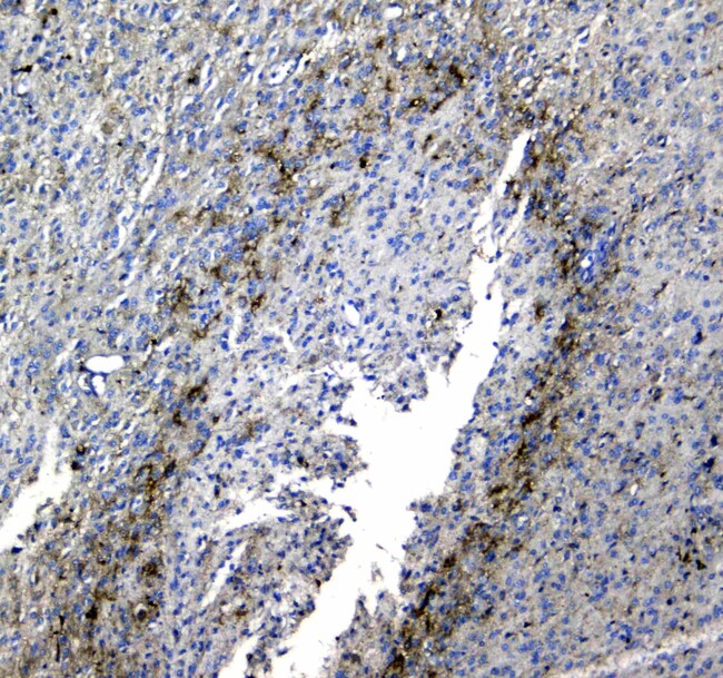
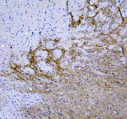
Reconstitute with 0.2 mL of distilled water to yield a concentration of 500 μg/mL. Positive Control - WB: rat brain tissue, mouse brain tissue. IHC: human glioma tissue, human melanoma tissue, mouse brain tissue, rat brain tissue. Flow: A549 cell, PC-3 cell, LLC cell.
Synaptotagmin 1 is a synaptic vesicle membrane glycoprotein that is widely expressed throughout the CNS and is generally thought to act as the Ca2+ sensor in the regulation of exocytosis and neurotransmitter release. Studies indicate that synaptotagmin's Ca2+ mediated binding of SNAP25 is essential for the Ca2+ dependent triggering of membrane. It has been demonstrated that discrete residues within the c(2)b binding domain of synaptotagmin 1 independently specify endocytic rate and synaptic vesicle size. Synaptotagmin 1 may have a regulatory role in the membrane interactions during trafficking of synaptic vesicles at the active zone of the synapse. Further, Synaptotagmin 1 binds acidic phospholipids with a specificity that requires the presence of both an acidic head group and a diacyl backbone. A Ca(2+)-dependent interaction between synaptotagmin and putative receptors for activated protein kinase C has been reported. Synaptotagmin 1 can also bind to at least three additional proteins in a Ca(2+)-independent manner; these are neurexins, syntaxin and AP2. Diseases associated with the dysfunction of Synaptotagmin 1 include food-borne botulism and infant botulism.
Specifikationer
Specifikationer
| Antigen | Synaptotagmin 1 |
| Användningsområden | Flow Cytometry, Immunohistochemistry (Frozen), Immunohistochemistry (Paraffin), Western Blot, Immunocytochemistry |
| Klassificering | Polyclonal |
| Koncentration | 500 μg/mL |
| Konjugera | Unconjugated |
| Formulering | PBS with 4mg trehalose and 0.05mg sodium azide |
| Gen | Syt1 |
| Genaccessionsnr. | P21579, P21707, P46096 |
| Gene Alias | AW124717; DKFZp781D2042; FLJ42519; G630098F17Rik; P65; SV DKFZp781D2042; SV SYT; svp65; Syb1; synaptotagmin 1; synaptotagmin 1 L homeolog; synaptotagmin 2; synaptotagmin I; synaptotagmin I protein; synaptotagmin I variant b; Synaptotagmin II; Synaptotagmin XI; synaptotagmin-1; Synaptotagmin-2; SYT; Syt1; syt1.L; SYT2; SytI; SytII; XELAEV_18022019mg |
| Gensymboler | Syt1 |
| Visa mer |
Produkttitel
Genom att klicka på Skicka bekräftar du att du kan bli kontaktad av Fisher Scientific angående feedbacken du har lämnat i detta formulär. Vi kommer inte att dela din information för andra ändamål. All kontaktinformation som tillhandahålls ska också underhållas i enlighet med vår Sekretesspolicy.
Hittar du en möjlighet till förbättring?