Läs mer
Invitrogen™ Vitronectin Recombinant Rabbit Monoclonal Antibody (ST49-02)

Rabbit Recombinant Monoclonal Antibody
Brand: Invitrogen™ MA532157
Beskrivning
Recombinant rabbit monoclonal antibodies are produced using in vitro expression systems. The expression systems are developed by cloning in the specific antibody DNA sequences from immunoreactive rabbits. Then, individual clones are screened to select the best candidates for production. The advantages of using recombinant rabbit monoclonal antibodies include: better specificity and sensitivity, lot-to-lot consistency, animal origin-free formulations, and broader immunoreactivity to diverse targets due to larger rabbit immune repertoire.
VTN is a member of the pexin family. This protein is found in serum and tissues and promotes cell adhesion and spreading, inhibits the membrane-damaging effect of the terminal cytolytic complement pathway, and binds to several serpin serine protease inhibitors. The protein is a secreted protein and exists in either a single chain form or a clipped, two chain form held together by a disulfide bond.
Specifikationer
| Vitronectin | |
| Recombinant Monoclonal | |
| 1 mg/mL | |
| TBS with 0.05% BSA, 40% Glycerol and 0.05% sodium azide; pH 7.4 | |
| P04004, P29788 | |
| VTN | |
| Synthetic peptide within Human Vitronectin aa 429-478. | |
| 100 μL | |
| Primary | |
| Human, Mouse, Rat | |
| Antibody | |
| IgG |
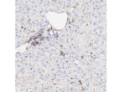
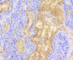
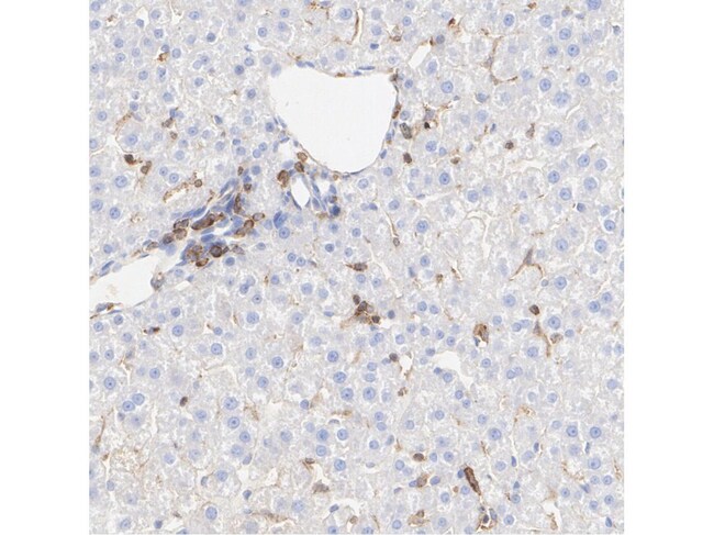
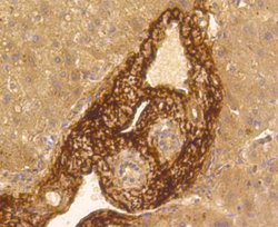
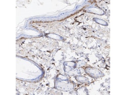
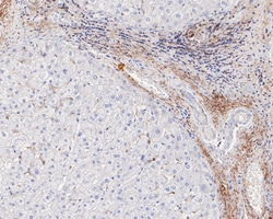
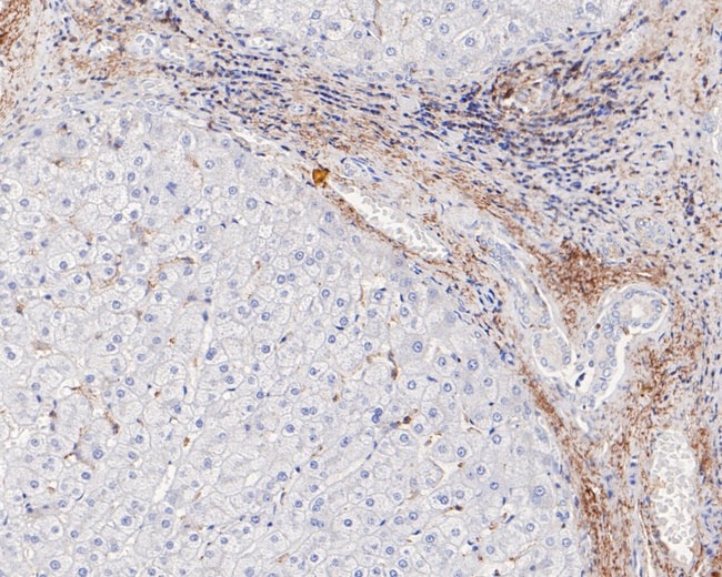
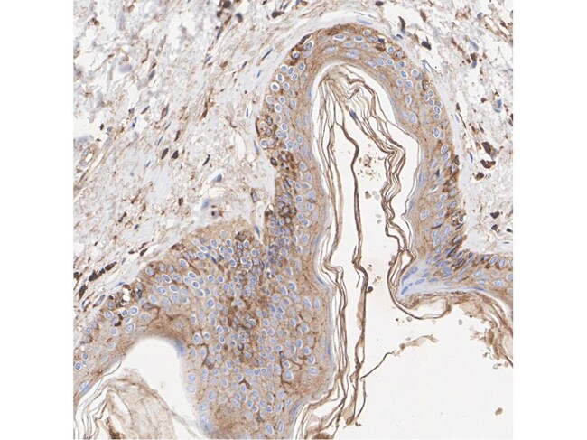
| Immunohistochemistry (Paraffin), Western Blot, Western Blot, Western Blot | |
| ST49-02 | |
| Unconjugated | |
| VTN | |
| Aa1018; AI256434; complement S-protein; epibolin; extracellular matrix protein; glycoprotein 66; serum spreading factor; serum-spreading factor; somatomedin B; Somatomedin-B; S-protein; V75; Vitronectin; vitronectin (serum spreading factor, somatomedin B, complement S-protein); Vitronectin V10 subunit; Vitronectin V65 subunit; VN; VNT; VTN | |
| Rabbit | |
| Protein A | |
| RUO | |
| 22370, 29169, 7448 | |
| Store at 4°C short term. For long term storage, store at -20°C, avoiding freeze/thaw cycles. | |
| Liquid |
Din input är viktig för oss. Fyll i det här formuläret för att ge feedback relaterad till innehållet på denna produkt.