missing translation for 'onlineSavingsMsg'
Läs mer
Läs mer
Invitrogen™ ZMIZ1 Polyclonal Antibody

Rabbit Polyclonal Antibody
Brand: Invitrogen™ PA550742
Denna artikel kan inte returneras.
Se returpolicy
Beskrivning
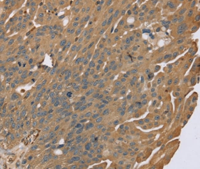
The antibody detects endogenous levels of total ZMIZ1 protein.
Retinoic acid plays a critical role in development, cellular growth, and differentiation and induces the expression of a variety of genes. RAI17 expression is induced by retinoic acid and is predominantly expressed in heart, brain and ovaries. Within brain, highest expression is in amygdala. The deduced 1,067-amino acid protein contains an MSX-interacting zinc finger (MIZ) domain, a nuclear localization signal sequence, and 2 proline-rich regions. A strong intrinsic transactivation domain is identified in the C-terminal proline-rich region. RAI17 expression is detected in various cancer cell lines. RAI17 colocalizes with endogenous androgen receptor (AR) in the nuclei of prostate epithelial cells from human tissue samples. In human prostate cancer cells, RAI17 increases the transcriptional activity of AR. Studies using sumoylation-deficient AR mutants suggest that the increase of AR activity by RAI17 is dependent upon receptor sumoylation.
Specifikationer
| ZMIZ1 | |
| Polyclonal | |
| Unconjugated | |
| ZMIZ1 | |
| BC065120; E330020C23; ENSMUSG00000072684; FLJ00092 protein; Gm10397; hZIMP10; I920194n01; KIAA1224; MIZ; PIAS-like protein Zimp10; Rai17; retinoic acid induced 17; retinoic acid-induced protein 17; RP11-519K18.1; TRAFIP10; Zimp10; Zinc finger MIZ domain-containing protein 1; zinc finger MIZ-type containing 1; zinc finger, MIZ-type containing 1; zinc finger-containing, Miz1, PIAS-like protein on chromosome 10; ZMIZ1 | |
| Rabbit | |
| Antigen affinity chromatography | |
| RUO | |
| 328365, 57178 | |
| -20°C | |
| Liquid |
| Immunohistochemistry (Paraffin), Western Blot | |
| 2.8 mg/mL | |
| PBS with 40% glycerol and 0.05% sodium azide; pH 7.4 | |
| Q6P1E1, Q9ULJ6 | |
| ZMIZ1 | |
| Synthetic peptide corresponding to residues near the N terminal of human zinc finger, MIZ-type containing 1. | |
| 100 μL | |
| Primary | |
| Human, Mouse | |
| Antibody | |
| IgG |
Korrigering av produktinnehåll
Din input är viktig för oss. Fyll i det här formuläret för att ge feedback relaterad till innehållet på denna produkt.
Produkttitel
Hittar du en möjlighet till förbättring?Dela en innehållskorrigering