Alla primära antikroppar
Primära antikroppar, immunglobuliner som binder till specifika proteiner eller andra biomolekyler, används i många forskningsapplikationer och protokoll för att upptäcka mål av intresse. De utvecklas med hjälp av olika djurvärdar, inklusive mus, råtta, kanin, get, får och många andra.
Monoklonala och
polyklonala antikroppar En typ av primära antikroppar, monoklonala antikroppar, ger hög reproducerbarhet och låg korsreaktivitet och bakgrundsljud. En annan typ, polyklonala antikroppar, kostar ofta mindre och ger större affinitet och snabbare bindning. Båda produceras med plasma B-celler, men den förra använder samma klon och den senare använder olika kloner. Monoklonala antikroppar kräver hybridomcellinjer, och polyklonala antikroppar gör det inte.
Det finns också rekombinanta monoklonala antikroppar med liknande fördelar, som hög affinitet, skalbarhet och specificitet. De tillverkas med hjälp av in vitro kloning av plasma B-celler och expressionsvärdar.
Konjugerade
primära antikroppar Antikroppar kan märkas med olika fluoroforer eller detektionsmedel eller användas utan märkningar. Märkta primära antikroppar, även kända som konjugerade primära antikroppar, hjälper forskare att förenkla och effektivisera sina applikationer. De är kopplade med vanliga enzymer och färgämnen som Alexa Fluor och används ofta i protein- och cellanalys.
Tillämpningar Antikroppar för biovetenskapliga tillämpningar används i flödescytometri, western blotting, ELISA, immunhistokemi och immuncytokemi. Sekundära antikroppar kan tillsättas för att stödja detektion och rening av vissa antigener. De binder till den primära antikroppen, som binder till antigenet av intresse. Att hitta rätt kombination av antikroppar kan resultera i större antigenspecificitet och en stark, detekterbar signal.
- (1)
- (3)
- (37)
- (588)
- (256)
- (19)
- (22)
- (364)
- (187)
- (297)
- (740)
- (53)
- (4)
- (874)
- (133)
- (1)
- (1)
- (1)
- (3)
- (8)
- (2)
- (3)
- (1)
- (1)
- (1,344)
- (615)
- (1,214)
- (48)
- (34)
- (3)
- (45)
- (49)
- (48)
- (43)
- (1)
- (42)
- (50)
- (49)
- (43)
- (51)
- (44)
- (49)
- (49)
- (50)
- (51)
- (45)
- (49)
- (49)
- (49)
- (49)
- (51)
- (16)
- (43)
- (5)
- (5)
- (42)
- (15)
- (33)
- (3)
- (3)
- (3)
- (32)
- (1)
- (591)
- (30)
- (31)
- (31)
- (1)
- (1)
- (36)
- (529)
- (1,271)
- (37)
- (2)
- (34)
- (121)
- (132)
- (23)
- (5)
- (32)
- (19)
- (3)
- (1)
- (1)
- (2)
- (102)
- (26)
- (1,782)
- (6)
- (1,038)
- (27)
- (1)
- (1)
- (1)
- (90)
- (81)
- (107)
- (894)
- (1)
- (62)
- (23)
- (25)
- (30)
- (12)
Filtrerade sökresultat
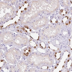
Invitrogen™ PMCA1 ATPase Polyclonal Antibody
Greener Choice Product
This product offers one or more environmental benefits itemized in the U.S. FTC Green Guides.
Learn More About the Greener Choice Program
This product offers one or more environmental benefits itemized in the U.S. FTC Green Guides.
Learn More About the Greener Choice Program
Goat Polyclonal Antibody
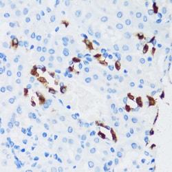
MMP7 Monoclonal Antibody (J8), Invitrogen™
Greener Choice Product
This product offers one or more environmental benefits itemized in the U.S. FTC Green Guides.
Learn More About the Greener Choice Program
This product offers one or more environmental benefits itemized in the U.S. FTC Green Guides.
Learn More About the Greener Choice Program
Mouse Monoclonal Antibody
| Innehåll och lagring | Store at 4°C short term. For long term storage, store at -20°C, avoiding freeze/thaw cycles. |
|---|---|
| Användningsområden | Western Blot |
| Form | Liquid |
| Värd art | Mouse |
| Klassificering | Monoclonal |
| Koncentration | 1 mg/mL |
| Primär eller sekundär | Primary |
| Antigen | MMP7 |
| Gen | MMP7 |
| Klona | J8 |
| Gene Alias | HGNC:7174; MAT; Matrilysin; matrilysin, uterine; matrin; matrix metallo protease; matrix metallopeptidase 7; matrix metallopeptidase 7 (matrilysin, uterine); matrix metalloproteinase 7; Matrix metalloproteinase 7 (matrilysin); matrix metalloproteinase 7 (matrilysin, uterine); matrix metalloproteinase-7; MMP; MMP 7; MMP7; Mmp-7; MMP-7 protein; MMPs; MPMM; MPSL1; PUMP 1; Pump 1 protease; PUMP1; PUMP-1; pump-1 protease; uterine matrilysin; uterine metalloproteinase |
| Reningsmetod | Protein A/G |
| Gensymboler | MMP7 |
| Immunogen | Leu18-Lys267 (Accession P09237), with N-terminal His Tag. |
| Formulering | PBS with 50% glycerol and 0.05% ProClin 300; pH 7.4 |
| Målarter | Human,Rat |
| Regulatorisk status | RUO |
| Produkttyp | Antibody |
| Isotyp | IgG1 κ |
| Genaccessionsnr. | P09237, P50280 |
| Konjugera | Unconjugated |
| Gen-ID (Entrez) | 25335, 4316 |
Invitrogen™ MMP7 Polyclonal Antibody
Greener Choice Product
This product offers one or more environmental benefits itemized in the U.S. FTC Green Guides.
Learn More About the Greener Choice Program
This product offers one or more environmental benefits itemized in the U.S. FTC Green Guides.
Learn More About the Greener Choice Program
Rabbit Polyclonal Antibody
Invitrogen™ V-ATPase G3 Polyclonal Antibody
Greener Choice Product
This product offers one or more environmental benefits itemized in the U.S. FTC Green Guides.
Learn More About the Greener Choice Program
This product offers one or more environmental benefits itemized in the U.S. FTC Green Guides.
Learn More About the Greener Choice Program
Rabbit Polyclonal Antibody
Invitrogen™ MMP7 Polyclonal Antibody
Greener Choice Product
This product offers one or more environmental benefits itemized in the U.S. FTC Green Guides.
Learn More About the Greener Choice Program
This product offers one or more environmental benefits itemized in the U.S. FTC Green Guides.
Learn More About the Greener Choice Program
Rabbit Polyclonal Antibody
Invitrogen™ PMCA1 ATPase Recombinant Rabbit Monoclonal Antibody (24GB5270)
Rabbit Recombinant Monoclonal Antibody
| Användningsområden | Flow Cytometry,Western Blot,Immunocytochemistry |
|---|---|
| Innehåll och lagring | -20°C |
| Form | Liquid |
| Värd art | Rabbit |
| Klassificering | Recombinant Monoclonal |
| Koncentration | 0.522 |
| Primär eller sekundär | Primary |
| Antigen | PMCA1 ATPase |
| Gen | ATP2B1 |
| Klona | 24GB5270 |
| Gene Alias | 2810442I22Rik; Atp2b1; ATPase plasma membrane Ca2+ transporting 1; ATPase, Ca++ transporting, plasma membrane 1; E130111D10Rik; plasma membrane Ca2+ pump (PMCA1b); plasma membrane calcium ATPase; Plasma membrane calcium ATPase isoform 1; plasma membrane calcium pump; Plasma membrane calcium pump isoform 1; Plasma membrane calcium-transporting ATPase 1; PMCA1; Pmca1a; Pmca1b; Pmca1c; PMCA1kb |
| Reningsmetod | Affinity chromatography |
| Gensymboler | ATP2B1 |
| Immunogen | A synthesized peptide derived from human PMCA1 (aa 1100-1150). |
| Formulering | PBS with 50% glycerol and 0.02% sodium azide; pH 7.4 |
| Målarter | Human,Mouse,Rat |
| Regulatorisk status | RUO |
| Produkttyp | Antibody |
| Isotyp | IgG |
| Genaccessionsnr. | G5E829, P11505, P20020 |
| Konjugera | Unconjugated |
| Gen-ID (Entrez) | 29598, 490, 67972 |
Invitrogen™ MMP7 Polyclonal Antibody
Greener Choice Product
This product offers one or more environmental benefits itemized in the U.S. FTC Green Guides.
Learn More About the Greener Choice Program
This product offers one or more environmental benefits itemized in the U.S. FTC Green Guides.
Learn More About the Greener Choice Program
Rabbit Polyclonal Antibody
Invitrogen™ ATP6V1D Polyclonal Antibody
Greener Choice Product
This product offers one or more environmental benefits itemized in the U.S. FTC Green Guides.
Learn More About the Greener Choice Program
This product offers one or more environmental benefits itemized in the U.S. FTC Green Guides.
Learn More About the Greener Choice Program
Rabbit Polyclonal Antibody
Invitrogen™ V-ATPase G3 Monoclonal Antibody (3A5)
Greener Choice Product
This product offers one or more environmental benefits itemized in the U.S. FTC Green Guides.
Learn More About the Greener Choice Program
This product offers one or more environmental benefits itemized in the U.S. FTC Green Guides.
Learn More About the Greener Choice Program
Mouse Monoclonal Antibody
Invitrogen™ PMCA1 ATPase Recombinant Rabbit Monoclonal Antibody (JE34-05)
Greener Choice Product
This product offers one or more environmental benefits itemized in the U.S. FTC Green Guides.
Learn More About the Greener Choice Program
This product offers one or more environmental benefits itemized in the U.S. FTC Green Guides.
Learn More About the Greener Choice Program
Rabbit Recombinant Monoclonal Antibody
Invitrogen™ MMP7 Polyclonal Antibody
Greener Choice Product
This product offers one or more environmental benefits itemized in the U.S. FTC Green Guides.
Learn More About the Greener Choice Program
This product offers one or more environmental benefits itemized in the U.S. FTC Green Guides.
Learn More About the Greener Choice Program
Goat Polyclonal Antibody