missing translation for 'onlineSavingsMsg'
Läs mer

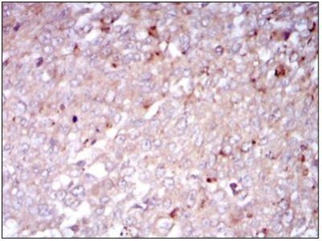
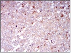
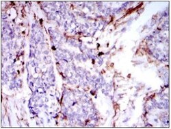
CD133 Antibody (3F10), Novus Biologicals™

Mouse Monoclonal Antibody has been used in 4 publications

Brand:  Novus Biologicals NBP2-37741

 Se fler versioner av denna produkt

Produktkod. 18632586

  • 5905.00 SEK / 0.10ml

Vänligen för att beställa denna produkten. Behöver du ett Webbkonto? Registrera ditt konto idag!

Denna artikel kan inte returneras. Se returpolicy

Beschreibung

Beschreibung

CD133 Monoclonal specifically detects CD133 in Human samples. It is validated for Flow Cytometry, ELISA, Immunohistochemistry, Immunocytochemistry/Immunofluorescence, Immunohistochemistry-Paraffin.
TRUSTED_SUSTAINABILITY
Spezifikation

Spezifikation

CD133
Monoclonal
Unconjugated
Ascites with 0.03% Sodium Azide
PROM1
Synthesized peptide of human CD133. (20-36)GGQPSSTDAPK AWNYELc
Unpurified
RUO
Primary
Human
IgG1
Flow Cytometry, ELISA, Immunohistochemistry, Immunocytochemistry, Immunofluorescence, Immunohistochemistry (Paraffin)
3F10
Flow Cytometry 1:200 - 1:400, ELISA 1:10000, Immunohistochemistry 1:200 - 1:1000, Immunocytochemistry/Immunofluorescence, Immunohistochemistry-Paraffin 1:200-1:1000
AC133 Stargardt disease 4 (autosomal dominant), CD133, CD133 retinal 2, prominin (mouse)-like 1, prominin 1
Mouse
133 kDa
0.1 mL
Cellular Markers, Core ESC Like Genes, Hematopoietic Stem Cell Markers, Neuronal Cell Markers, Neuronal Stem Cell Markers, Neuroscience, Stem Cell Markers
8842
Store at 4°C short term. Aliquot and store at-20°C long term. Avoid freeze/thaw cycles.
Produktvorschläge

Produktvorschläge

Videos
Sicherheitsdatenblatt (SDS)
Dokumentation

Dokumentation

Zertifikate
Aktionen

Aktionen

Berichtigung von Produktinhalten

Bitte geben Sie uns Ihr Feedback zu den Produktinhalten, indem Sie das folgende Formular ausfüllen.

Name des Produkts

Indem Sie auf Absenden klicken, erklären Sie sich damit einverstanden, dass Fisher Scientific sich mit Ihnen in Verbindung setzen kann, um Ihr Feedback in diesem Formular zu bearbeiten. Wir werden Ihre Informationen nicht für andere Zwecke weitergeben. Alle bereitgestellten Kontaktinformationen werden in Übereinstimmung mit unserer Datenschutzrichtlinie aufbewahrt. Datenschutzrichtlinie.

Vielen Dank, dass Sie uns helfen, unsere Website zu verbessern. Ihr Feedback wurde übermittelt